IVRセンター
IVRセンター
概要
医師紹介
IVRセンターについて
放射線診断で使用する画像診断装置を利用して行う低侵襲治療や特殊検査を総称してIVR (Interventional Radiology:インターベンショナルラジオロジー)とよびます。具体的には腫瘍性病変や出血性病変に対する血管塞栓術、下肢動脈や冠動脈(心臓を養う動脈)の狭窄や透析シャント血管の狭窄などを治療する血管拡張術、胃静脈瘤や血管腫・血管奇形などの治療のための硬化療法、ラジオ波を用いた腫瘍性病変の治療、膿瘍の治療のためのドレナージ術、腫瘍を診断するための生検術などであり、広い範囲の臓器・疾患を対象にしています。
近年IVRは診療に欠かせない手技となっており、各科・部門を超えたチーム医療が最も重視される分野の一つとなっています。各診療部門の医師はもちろんのこと、麻酔科医、診療放射線技師、看護師、臨床工学技士の迅速な対応・協力が必要です。2015年4月にIVRセンターが開設され、基本方針である「患者中心のIVR、患者を中心としたチーム医療」を掲げ、患者さんのための医療を皆で再確認し、患者さんに気持ちよくIVRを受けていただけるように全員で対応しています。医療技術・検査技術の向上に努力し、低侵襲で効果の高い医療を提供できるようにスタッフ一同が常に心がけ、患者さんの思いを取り入れて、安全・安心な診療を提供します。

IVRの症例
大腸憩室出血に対する緊急止血術
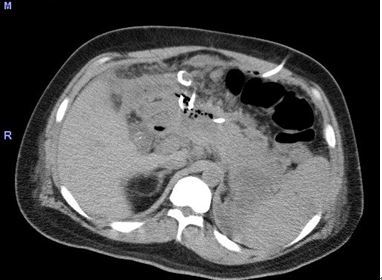
- CTで大腸内に造影剤の漏出がみられる(出血を表している)。


- 血管造影で責任血管を同定し、マイクロカテーテルをその血管にすすめた。造影剤が大腸の内腔に漏出している。


- 出血の責任動脈を塞栓後。出血は完全に止まっている。

透析シャント不全に対する血管拡張術
- シャントが閉塞している。

- 血管形成術を行った。

- シャントは開通した。

膿瘍に対するCTガイド下ドレナージ
- 重症膵炎後の腹腔内膿瘍に対するCTガイド下ドレナージ。大きな膿瘍がみられている。
CTガイド下に膿瘍を穿刺。

- ガイドワイヤーの挿入(X線透視下)

- 複数のドレーンを留置

肝腫瘍に対する肝動脈化学塞栓術
- 造影CTで肝尾状葉の肝細胞癌が描出されている。

- 腹腔動脈造影。腫瘍濃染がみられる。

- 肝動脈化学塞栓術後の腹腔動脈造影。腫瘍濃染は消失している。

- 治療後1か月後の肝動脈造影下のCT;腫瘍の造影効果が消失

胃静脈瘤に対する経静脈的胃静脈瘤硬化療法(BRTO)
- 造影CTで胃静脈瘤がみられる(矢印)

- CT血管撮影

- 硬化剤が静脈瘤内に充満している。

- 治療後に静脈瘤には血流がみられなくなっている。


骨盤部血管奇形に対する動脈塞栓術
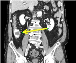
- CTで骨盤部に著明に拡張した静脈がみられる。

- 骨盤部の動脈造影。多数の異常血管がみられ著明に拡張した静脈が描出されている。

- 治療後1年後のCT。異常血管は縮小し、血流は消失している。

実績




動画のご紹介
日本IVR学会が作成した「IVR解説アニメーション」をご覧いただけます。
日本IVR学会(https://www.jsir.or.jp/)
