眼瞼下垂

眼瞼下垂とは

眼瞼下垂がんけんかすいとは、まぶたが下がってきて、見づらくなる状態のことです。
眼瞼下垂になると、次のような問題が起こることがあります。

眼瞼下垂で起こる問題点

  • おでこにしわを寄せて眉毛を引き上げ肩代わりすることはできるが、筋肉や神経に負担がかかり、肩こりや頭痛、不眠などいろいろな症状が出ることがある
  • まぶたの開き方が左右で違うため、非常に目立つ
  • おでこにしわを寄せることが多くなるため、しわが深くなりやすい

眼瞼下垂の原因

眼瞼下垂の原因として多いのは、老化、コンタクトレンズ、緑内障の目薬です。

眼瞼挙筋(まぶたを開く筋肉)が弱ったり傷ついたりして、まぶたが開きにくくなります。
また、老化で皮膚がたるんでかぶさってくることもあります。

眼瞼下垂の治療

眼瞼下垂の治療は、基本的に手術しかありません。
美容目的ではありませんので、健康保険が使えます。

  • 局所麻酔でできますので、日帰りも可能です。
    通院が難しい方、出血しやすくなる薬を使用している方、一人暮らしで手術に不安がある方などは、1泊入院になります。
  • 手術直後から入浴できますし、安静も必要ありません。
    ただし、手術後2~3週間はかなり腫れて目立ちますので、どのタイミングで手術を受けるか慎重に考える必要があります。
  • 左右はできるだけそろえますが、完全にそろえるのは困難です。左右差が目立つ場合は再手術で修正することもあります。
  • 手術しても数年~数十年後に再発することがあり、再手術が必要になる場合があります。
    生涯を通じて再手術が必要になる可能性は約20%と言われています。

眼瞼下垂の手術について

眼瞼下垂の状況によって、手術法が変わります。

1.皮膚のたるみが強いだけの場合

まぶたが実際は開いていても、皮膚がたるんでかぶさってしまうと見えにくくなります。
その場合は、たるんだ皮膚を切除します。どう切除するかで2通りに分かれます。

A.二重まぶたの線に沿って、たるんだ皮膚を切除する

傷あとは二重まぶたで隠れるため、ほとんど分からなくなります。

長所

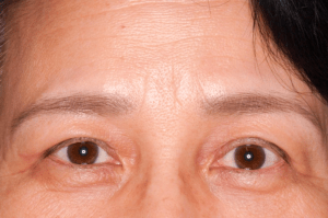
眼瞼下垂(手術前)の写真

1.手術前です。
たるんだ皮膚がかぶさっているため切除します。

眼瞼下垂(手術後)の写真

2.手術後3ヶ月です。
隠れていた二重まぶたのラインも見えるようになりました。

B.眉毛の下で、たるんだ皮膚を切除する(拡大眉毛下皮膚切除術)

傷あとは眉毛で隠れるため、ほとんど分からなくなります。
眉毛の幅が少し狭くなりますが、実際はさほど目立ちません。

長所

1.手術前です。
皮膚が厚ぼったくだぶついています。

2.眉毛の下で皮膚を切除します。

3.手術直後です。
まぶたがすっきりして、かぶさりも無くなりました。

2.筋肉(眼瞼挙筋)の機能が低下している場合

眼瞼挙筋(まぶたを開く筋肉)が弱ったり傷ついたりすると、まぶたが開きにくくなります。その場合は、皮膚を切除するだけでなく、眼瞼挙筋前転術が必要になります。

皮膚を切開し、眼瞼挙筋をいったん切り離し、前方に引き出して縫い付けます。そうすると、少ない力でまぶたを開くようになります。結果的に二重まぶたになりますので、印象がかなり変わります。

1.手術前です。
皮膚のたるみが非常に強く、眼瞼挙筋の力も低下しています。おでこに深いしわができています。

2.眼瞼挙筋前転術を行います。
たるんだ皮膚も同時に切除します。

3.手術後3ヶ月です。
両目とも十分に開くようになりました。おでこのしわも浅くなりました。